Pneumonia is an infectious lung disease. Most often, it affects children under the age of three years and adults over 65, as well as in people with weakened immune systems. There are many varieties of ailments that vary in severity, pathogen. Based on this, standards for the treatment of pneumonia have been developed that take into account all varieties of the disease and severity, as well as the age of the patient, the pathogen and other criteria.

The essence of standards
The protocol for patient care provides a set of binding recommendations that apply not only to treatment, but also to diagnosis. Standards include the choice of an antibiotic, the definition of a diagnostic method, and the possibility of treatment on an outpatient basis.
When choosing treatment tactics, the patient’s age is taken into account, symptomatic therapy is determined, and measures are taken to improve sputum discharge.
Each standard of treatment for pneumonia is not only medical, but also economic in nature. It can be prescribed for emergency care, first aid and patient care in the hospital or on an outpatient basis.

Principles of Medical Assistance
In pneumonia, the plan of medical measures is based on the presence of complications, as they can be severe and life-threatening to the patient. It may be septic shock, pulmonary edema, or respiratory failure. Based on the presence of complications, the severity of the disease is determined and the question of the need for hospitalization is decided.
The standards for the treatment of pneumonia indicate the criteria by which the severity of the disease is determined:
- NPV more than 30 per minute;
- systolic blood pressure below 90 mm. Hg. st .;
- impaired consciousness;
- body temperature above 40 or below 35;
- anemia;
- leukocytes more than 20x109 / l;
- the amount of urine is less than 500 ml per day;
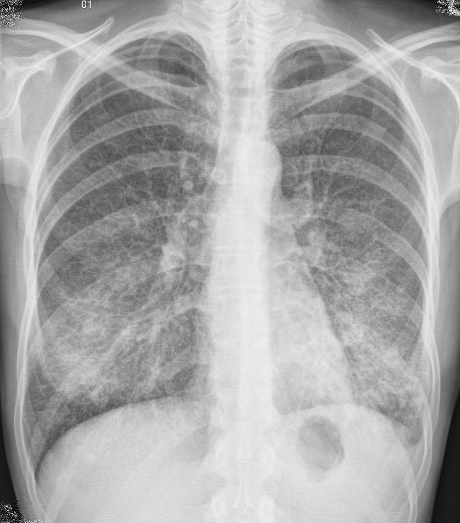
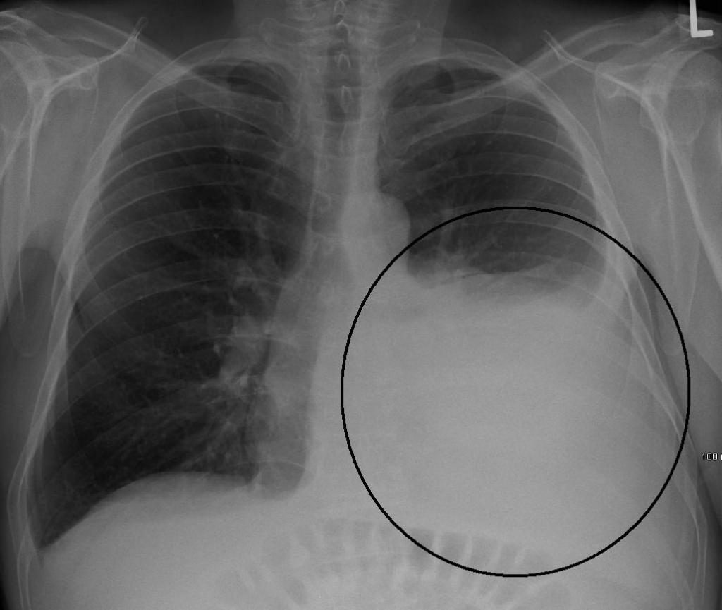
- two or more lobes are affected on an x-ray;
- rapid course of the disease, pneumothorax.
If one of these signs is revealed, urgent hospitalization is necessary. Transfer to resuscitation is determined by the resuscitator.
By standards, the treatment of pneumonia in a hospital is carried out in people over the age of sixty years, as well as in the presence of chronic respiratory diseases, with diabetes mellitus, and hypertension. If a disease is detected in pregnant women, hospitalization is required. Also, in a hospital, they treat pneumonia in the absence of the effect of standard antibacterial therapy.

Light form
A mild form can be treated on an outpatient basis. For this, antibiotics are prescribed, as well as measures are taken to improve the drainage function of the bronchial tree. The standard for the treatment of pneumonia on an outpatient basis involves the use of mucolytics, bronchodilators, and regulation of water balance. Antipyretic drugs are selected, a scheme for monitoring the effectiveness of therapy.
Severely ill patient ambulance algorithm
The standards for treating pneumonia in adults include emergency care algorithms for people with severe forms.
- Peripheral vein catheterization is performed.
- Oxygen inhalation through nasal catheters or mask.
- Intravenous infusion of saline at a rate of up to twenty drops per minute.
- The adequacy of care is assessed, if necessary, the patient is transferred to mechanical ventilation, the complication of pneumonia is eliminated.
- Blood circulation is assessed, adrenomimetics are prescribed if necessary.
- The patient is transported to a hospital.

Antibiotic use
Standards for the treatment of community-acquired pneumonia and in-patient therapy involve the use of antibiotics.All medicines are divided into drugs of choice, alternative and reserve antibiotics. The table shows the possible choices of drugs.
| Group of patients | Drug of choice | Reserve Medication | Second row antibiotic |
| Patients under the age of sixty years, without chronic diseases. A mild form of pneumonia. | Amoxicillin. "Azithromycin". Clarithromycin. "Jomycin." Spiramycin. | Levofloxacin. "Moxifloxacin". | If Amoxicillin is ineffective, macrolide is used. |
| Patients over the age of 60 years or patients with chronic ailments. The mild course of the disease. | Protected penicillins: Amoxicillin + Clavulanate or Cefuroxime axetil. Intermuscularly, Ceftriaxone is prescribed. | Levofloxacin. "Moxifloxacin". Macrolides. | Levofloxacin. "Moxifloxacin". Amoxicillin + Clavulanate with macrolide. |
| Patients who need treatment in a hospital. | Protected Penicillins. "Centriaxone". "Cefuroxime". Macrolide | Fluoroquinolones are prescribed intravenously: Levofloxacin or Moxifoxacin. | Preparations for intravenous administration are selected: Levofloxacin or Moxifloxacin. |
| Patients who need hospitalization in the intensive care unit | Protected penicillins or Ceftriaxone are given intravenously. Another drug from the macrolide group. | Drugs are administered only intravenously: "Fluoroquinolones." "Moxifloxacin" in conjunction with "Ceftriason". | Triple therapy is carried out with the following medicines: 1. "Amikacin". 2. "Ciprofloxacin" or "Levofloxacin". 3. "Doripenem." |
By the standards of treatment for severe pneumonia and with other degrees of severity, the following drugs are required:
- Mucolytics. As drugs can be selected "Carbocysteine" or "Ambroxol" or other means.
- Anticholinergic drugs.
- To lower the temperature, "Paracetamol" or "Ibuprofen" is used.
Physiotherapy procedures are necessarily selected: exercise therapy, massage, magnetotherapy, etc.
Monitoring the effectiveness of treatment
In order for a doctor to determine if treatment is effective, the following procedures are needed:
- A daily assessment of the patient.
- Every two days, blood is donated for a general analysis.
- Additional diagnostic methods are carried out: ECG, CT, radiography of the lungs.
Classification of pneumonia
The standards for the treatment of pneumonia in children and adults include the following types:
- Community-acquired pneumonia. It is also called outpatient or home. Usually this species is infected outside the hospital.
- Nosocomial. Usually, it is acquired inside hospitals. It is also called nosocomial or hospital.
- Aspiration.
In a separate category, pneumonia is obtained from individuals with impaired immune defense of the body.

Severity criterion
The following severity levels of the disease are distinguished:
- Easy. It is characterized by unexpressed clinical manifestations: intoxication is mild, the temperature rises to subfebrile numbers. Respiratory failure is absent. For an easy course, infiltration within one segment is characteristic. In the analysis of leukocytes no more than 10x109 / l.
- Medium degree. The clinic is moderate. Body temperature rises to thirty-eight degrees. Pulmonary infiltrate is located in one or two segments. At this degree, the respiratory rate is increased up to 22 times per minute, and the pulse is also increased up to a hundred beats per minute. With a moderate degree of complication are absent.
- Severe degree. The patient has symptoms of intoxication: body temperature is above 38 degrees. Respiratory failure is observed, hemodynamics are disturbed. With complications, septic shock can be diagnosed. In KLA, leukopenia or leukocytosis. Infiltration is bilateral, with a rapid increase in the affected area.

Risk factors
Pneumonia most often occurs in individuals suffering from impaired immunity. Also, this pathology often occurs in smokers, drug addicts, alcoholics.It affects people over the age of 65 and children.
Diagnostics
Standards for the treatment of pneumonia in a hospital and on an outpatient basis provide a number of criteria for diagnosis. According to the protocols, the doctor must take into account complaints, assess the onset of the disease, the nature of the cough. With suspected pneumonia, laboratory and instrumental examination methods are necessarily prescribed.
Usually the disease begins acutely, a cough appears with mucopurulent sputum. During the examination, shortening of percussion sound, weakening of bronchial breathing, moist small-bubbling rales, crepitus are noted. In blood tests, leukocytosis is observed. X-rays show zones of infiltration.
To clarify the diagnosis, the following diagnostic procedures can be performed:
- Roentgenography.
- Blood and urine are given for general analysis.
- Sputum culture is performed to identify the causative agent of pneumonia.
- Mandatory consultation of a TB doctor and oncologist.
If necessary, the doctor will prescribe additional types of diagnostics.

Treatment regimen
The standard therapy or treatment for pneumonia in an adult provides for different methods of treatment for various degrees of severity. So, for the mild form, it is recommended to use Amoxicillin at a dose of 1000 mg four times a day, Azithromycin 500 mg once a day or Clarithromycin 250 mg twice a day.
A mild form in people with risk factors and in the presence of concomitant diseases is treated with “Cephalexin” at a dose of 1 gram three times a day or “Ciprofloxacin” 500 mg once a day. Your doctor may prescribe Levofloxacin 500 mg once daily. Three times a day, Amoxicillin and Clavulanic Acid are prescribed. "Paracetamol" in tablets, syrup or suppositories is always prescribed.
The duration of treatment is about ten days. In the presence of mycoplasmal or chlamydial infection, treatment lasts about two weeks.
Antibiotics are administered orally, but in some cases they are given as an injection. For the prevention of mycosis, Itraconazole 200 mg is prescribed twice a day for two weeks.
By standards, in patients without risk factors, treatment with Amoxicillin or Macrolide is recommended. If the patient has risk factors, then monotherapy with third or fourth generation antibiotics is indicated. Aminopenicillins or second-generation cephalosporins may be used. For example, a doctor may prescribe Amoxiclav in combination with Clarithromycin or Cefuroxime Axetil in combination with Azithromycin.

In children, the dosage of antibiotics depends on age and should be strictly observed.
Proper and timely therapy avoids complications, as well as the worst consequences.